Heritable disorders of connective tissue / Victor A. McKusick.
- Victor A. McKusick
- Date:
- 1960
Licence: Attribution-NonCommercial 4.0 International (CC BY-NC 4.0)
Credit: Heritable disorders of connective tissue / Victor A. McKusick. Source: Wellcome Collection.
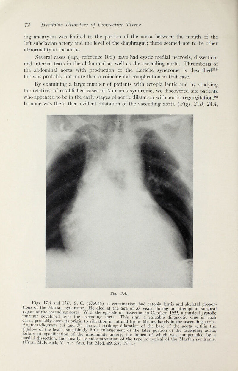
76/344 page 72



