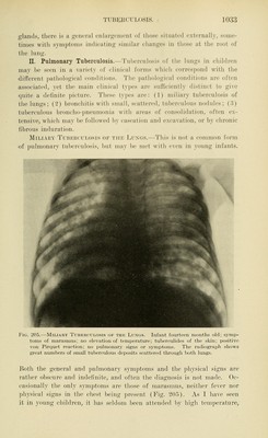
The diseases of infancy and childhood : for the use of students and practitioners of medicine / by L. Emmett Holt and John Howland.
- Luther Emmett Holt
- Date:
- 1911
Licence: Public Domain Mark
Credit: The diseases of infancy and childhood : for the use of students and practitioners of medicine / by L. Emmett Holt and John Howland. Source: Wellcome Collection.
Provider: This material has been provided by the Augustus C. Long Health Sciences Library at Columbia University and Columbia University Libraries/Information Services, through the Medical Heritage Library. The original may be consulted at the the Augustus C. Long Health Sciences Library at Columbia University and Columbia University.
1/1178



