Licence: Attribution-NonCommercial 4.0 International (CC BY-NC 4.0)
Credit: Genetics in ophthalmology / Arnold Sorsby. Source: Wellcome Collection.
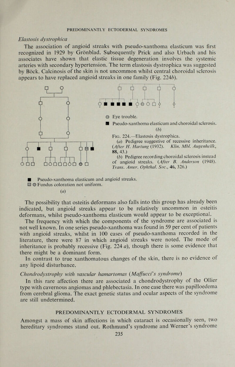
275/312 (page 235)
Licence: Attribution-NonCommercial 4.0 International (CC BY-NC 4.0)
Credit: Genetics in ophthalmology / Arnold Sorsby. Source: Wellcome Collection.