Zbornik kirurgic̆ne klinike v Ljubljani : ob desetletnici / Uredila Bozĭdar Lavric̆ in Mirko Derganc.
- Ljubljana (Slovenia). Medicinska visoka s̆ola. Kirurgic̆na klinika.
- Date:
- 1950
Licence: Public Domain Mark
Credit: Zbornik kirurgic̆ne klinike v Ljubljani : ob desetletnici / Uredila Bozĭdar Lavric̆ in Mirko Derganc. Source: Wellcome Collection.
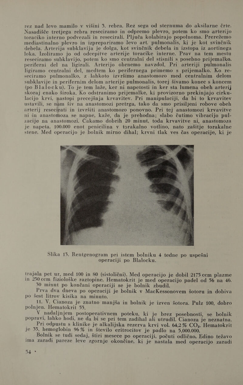
62/346 page 54



