Practical radiography : a handbook of the applications of the X-rays / by A.W. Isenthal and H. Snowden Ward.
- Isenthal, A. W. (Adolf William)
- Date:
- 1898
Licence: Public Domain Mark
Credit: Practical radiography : a handbook of the applications of the X-rays / by A.W. Isenthal and H. Snowden Ward. Source: Wellcome Collection.
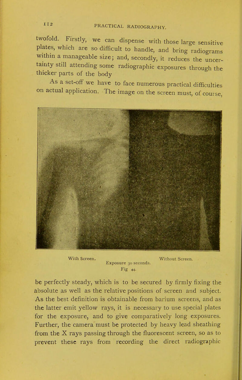
120/172 (page 112)
