Lateral curvature of the spine and round shoulders / by Robert W. Lovett.
- Robert W. Lovett
- Date:
- 1912
Licence: Public Domain Mark
Credit: Lateral curvature of the spine and round shoulders / by Robert W. Lovett. Source: Wellcome Collection.
Provider: This material has been provided by the Francis A. Countway Library of Medicine, through the Medical Heritage Library. The original may be consulted at the Francis A. Countway Library of Medicine, Harvard Medical School.
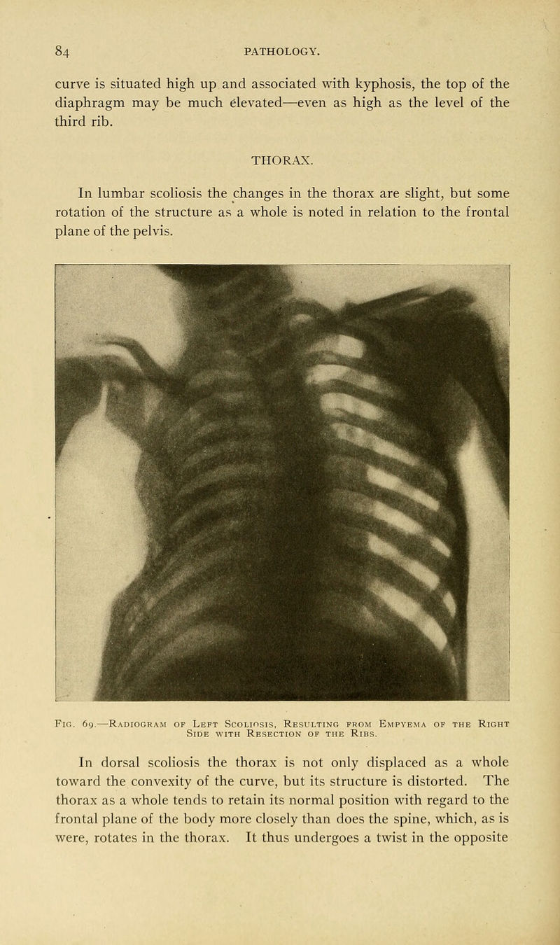
102/214 page 84



