Operative obstetrics including the surgery of the newborn / by Edward P. Davis.
- Edward P. Davis
- Date:
- 1911
Licence: Public Domain Mark
Credit: Operative obstetrics including the surgery of the newborn / by Edward P. Davis. Source: Wellcome Collection.
Provider: This material has been provided by the Francis A. Countway Library of Medicine, through the Medical Heritage Library. The original may be consulted at the Francis A. Countway Library of Medicine, Harvard Medical School.
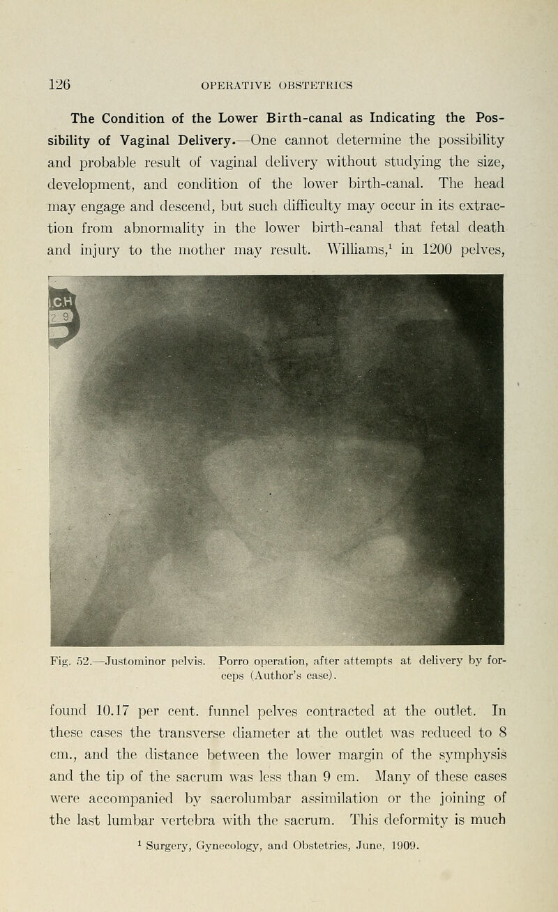
124/504 (page 126)
