Ingestion
Works from the collections
14 works

- Digital Images
- Online
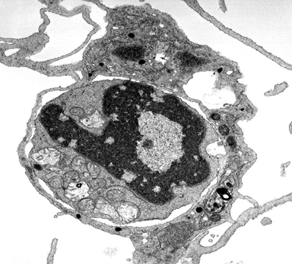
TEM cell being ingested by phagocytosis
Dr Jeremy Skepper- Books
Quantifying under-nutrition in rural India / Rekha Sharma.
Sharma, Rekha (Professor of economics)Date: 2015- Books
The body of the conquistador : food, race, and the colonial experience in Spanish America, 1492-1700 / Rebecca Earle.
Earle, Rebecca.Date: 2012
- Pictures
- Online
A man vomiting after overeating and drinking; representing the sense of touch. Engraving by J.J. Kleinschmidt after Jan van de Velde the younger.
Velde, Jan van de, 1593-1641.Reference: 27165i
- Pictures
- Online
A crane inserts its beak into the mouth of a wolf; illustrating Aesop's fable. Etching by C. Murer after himself, c. 1600-1614.
Murer, Christoph, 1558-1614.Date: 1622Reference: 26680i



![A Greenwich Pensioner sits at table, eating soup, attended [?] by three others: all are disabled in various ways. Lithograph.](https://iiif.wellcomecollection.org/image/V0013363/full/600%2C/0/default.jpg)





