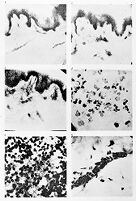
M0013307: Magnification of erysipelas in the skin

Date:
February 1954
Reference:
WT/D/1/20/1/119/25
Part of:
Wellcome Trust Corporate Archive
  • Archives and manuscripts
  • Online

Available online

view M0013307: Magnification of erysipelas in the skin

Contains: 1 image

Public Domain Mark

You can use this work for any purpose without restriction under copyright law. Read more about this licence.

Credit

M0013307: Magnification of erysipelas in the skin. Public Domain Mark. Source: Wellcome Collection.

About this work

Also known as

Previous title, replaced January 2022: Erysipelas in man.

Description

Reproduction of two photographs showing erysipelas, an infection of the upper layers of the skin, magnified with captions underneath. This reproduction was made from Koch, Robert: Zur Untersuchung von pathogenen Organismen, Berlin : Norddeutschen Buchdruckerei und Verlagsanstalt, 1881. Related images: M0013308, M0013309, M0013310, M0013311, M0013312, M0013313, M0013314

Publication/Creation

February 1954

Physical description

1 photograph glass plate negative; 12 x 16.5 cm

Related material

Wellcome Collection holds the publication from which the image depicted in the glass plate negative has been reproduced.

Notes

Catalogue data comes from a combination of entries in the original glass plate registers, metadata created when the glass plates were digitised in the early 2000s and enhancements made by the cataloguer in 2022.

Terms of use

Please consult the digitised version as this item is fragile. Email library@wellcomecollection.org to request access to the physical item.

Subjects

Where to find it

  • Location Access
    Closed stores
    Can't be requested

    Note

Permanent link